بهعنوان تامینکننده نسبیت والپلاست دندانهای قدامی، با سؤالات متعددی در مورد مناسب بودن آن برای بیماران با مینای دندان ضخیم مواجه شدهام. این وبلاگ قصد دارد به طور جامع به این موضوع بپردازد و بینش های علمی و ملاحظات عملی را ارائه دهد.
آشنایی با دندان های قدامی Nesbit Valplast
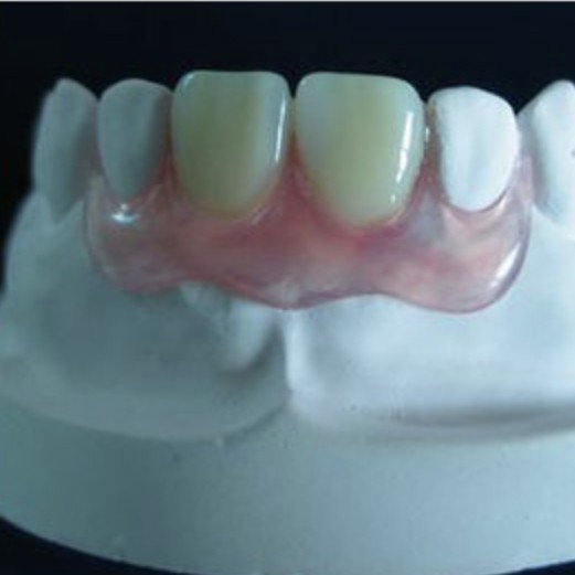
دندان های قدامی Nesbit Valplast یک محصول تخصصی دندانپزشکی است که مزایای منحصر به فردی را در محلول های پروتز متحرک ارائه می دهد. این از مواد انعطاف پذیر، سبک و زیست سازگار ساخته شده است که تناسب راحت را برای بیماران فراهم می کند. انعطاف پذیری Valplast به آن اجازه می دهد تا با خطوط طبیعی حفره دهان سازگار شود و احتمال تحریک را کاهش دهد و راحتی بیمار را افزایش دهد.
یکی از ویژگی های کلیدی دندان های قدامی Nesbit Valplast جذابیت زیبایی آن است. این ماده ظاهر دندانها و لثههای طبیعی را تقلید میکند و آن را به انتخابی عالی برای بیمارانی تبدیل میکند که خواهان لبخندی طبیعیتر هستند. علاوه بر این، مواد Valplast در برابر لکه و تغییر رنگ مقاوم است و زیبایی طولانی مدت را تضمین می کند.


با مراجعه به سایت می توانید درباره دندان های قدامی Nesbit Valplast اطلاعات بیشتری کسب کنیددندان های قدامی Nesbit Valplast.
مینای دندان: ساختار و عملکرد
مینای دندان خارجی ترین لایه دندان است و سخت ترین ماده در بدن انسان است. به عنوان یک سد محافظ عمل می کند و از عاج و پالپ زیرین در برابر توهین های فیزیکی، شیمیایی و باکتریایی محافظت می کند. مینا عمدتاً از کریستال های هیدروکسی آپاتیت تشکیل شده است که به آن استحکام و دوام می بخشد.
ضخامت مینای دندان می تواند در افراد مختلف متفاوت باشد و همچنین می تواند تحت تأثیر عواملی مانند سن، رژیم غذایی و بهداشت دهان و دندان قرار گیرد. به طور کلی، ضخامت مینا بین 0.5 تا 2.5 میلی متر است که ضخیم ترین مینا در سطوح اکلوزال (گزنده) دندان های آسیاب وجود دارد.
آیا نسبیت والپلاست دندان قدامی در بیماران با مینای دندان ضخیم قابل استفاده است؟
استفاده از نسبیت والپلاست دندان قدامی در بیماران با مینای دندان ضخیم موضوعی است که نیاز به بررسی دقیق دارد. در حالی که انعطاف پذیری و سازگاری Valplast آن را برای طیف وسیعی از بیماران مناسب می کند، وجود مینای ضخیم می تواند چالش های خاصی را ایجاد کند.
مزایا
- راحتی و تناسب: ماهیت انعطاف پذیر دندان های قدامی Nesbit Valplast به آن اجازه می دهد تا با خطوط حفره دهان مطابقت داشته باشد، حتی در بیماران با مینای ضخیم. این یک تناسب راحت را تضمین می کند و خطر نقاط فشار یا تحریک را کاهش می دهد.
- زیبایی شناسی: ظاهر طبیعی والپلاست می تواند زیبایی لبخند را بدون توجه به ضخامت مینای دندان افزایش دهد. این ماده را می توان برای مطابقت با رنگ و شکل دندان های موجود بیمار سفارشی کرد و نتیجه ای بدون درز و ظاهری طبیعی ارائه کرد.
- زیست سازگاری: والپلاست یک ماده زیست سازگار است، به این معنی که توسط بافت های دهان به خوبی تحمل می شود. این امر به ویژه در بیماران با مینای ضخیم مهم است، زیرا احتمال کمتری دارد که این ماده باعث واکنش های آلرژیک یا سایر عوارض جانبی شود.
چالش ها
- حفظ: مینای دندان ضخیم می تواند حفظ کافی نسبیت والپلاست دندان های قدامی را دشوارتر کند. سطح صاف مینا ممکن است اصطکاک کافی برای ثابت ماندن دندان مصنوعی به خصوص در هنگام جویدن یا صحبت کردن ایجاد نکند.
- انسداد: ضخامت مینای دندان نیز می تواند بر روی انسداد (گزیدگی) دندان مصنوعی تاثیر بگذارد. اگر مینای دندان بیش از حد ضخیم باشد، ممکن است لازم باشد سطوح اکلوزال دندان مصنوعی را تنظیم کنید تا از تراز و عملکرد مناسب اطمینان حاصل شود.
- آماده سازی: در برخی موارد، بیمارانی که مینای ضخیم دارند ممکن است به آماده سازی دندانی گسترده تری برای قرار دادن نسبیت والپلاست دندان قدامی نیاز داشته باشند. این می تواند شامل کاهش ضخامت مینا برای ایجاد فضایی برای دندان مصنوعی و بهبود تناسب آن باشد.
ملاحظات برای برنامه ریزی درمان
هنگام در نظر گرفتن استفاده از نسبیت والپلاست دندان قدامی در بیماران با مینای ضخیم دندان، انجام یک معاینه کامل و فرآیند برنامه ریزی درمان ضروری است. این ممکن است شامل مراحل زیر باشد:
- معاینه بالینی: معاینه بالینی جامع حفره دهان بیمار از جمله دندان ها، لثه ها و مفاصل فک برای ارزیابی ضخامت مینای دندان و شناسایی هرگونه مشکل احتمالی ضروری است.
- ارزیابی رادیوگرافی: رادیوگرافی ها، مانند اشعه ایکس پانورامیک یا پری آپیکال، می توانند اطلاعات ارزشمندی در مورد ساختار استخوان زیرین و موقعیت دندان ها ارائه دهند. این می تواند به تعیین امکان سنجی استفاده از دندان های قدامی Nesbit Valplast کمک کند و روند برنامه ریزی درمان را هدایت کند.
- برداشت ها و مدل ها: قالب گیری دقیق از دندان ها و لثه های بیمار برای ساختن Nesbit Valplast دندان های قدامی مناسب ضروری است. قالب ها باید جزئیات سطح مینای دندان و رابطه اکلوزالی دندان ها را نشان دهند.
- گزینه های درمان: بر اساس یافته های معاینه و ارزیابی، دندانپزشک می تواند گزینه های درمانی را با بیمار در میان بگذارد. این ممکن است شامل استفاده از دندان های قدامی Nesbit Valplast و همچنین جایگزین های دیگر مانند دندان مصنوعی سنتی یا ایمپلنت های دندانی باشد.
سایر محصولات Valplast
علاوه بر دندان های قدامی Nesbit Valplast، محصولات دیگری از والپلاست موجود است که ممکن است برای بیماران با مینای دندان ضخیم مناسب باشد. این موارد عبارتند از:
- دندان مصنوعی یک طرفه Nesbit Valplast: این نوع پروتز برای جایگزینی یک دندان از دست رفته یا گروه کوچکی از دندان ها در یک طرف دهان طراحی شده است. این همان مزایای انعطاف پذیری، راحتی و زیبایی شناسی دندان های قدامی Nesbit Valplast را ارائه می دهد.
- والپلاست بالا و پایین دندان کامل: برای بیمارانی که نیاز به یک مجموعه کامل از پروتزهای دندانی دارند، والپلاست بالا و پایین دندان کامل یک راه حل طبیعی و راحت ارائه می دهد. جنس Valplast سبک و انعطاف پذیر است که پوشیدن و نگهداری آن را آسان می کند.
نتیجه گیری
در پایان، استفاده از نسبیت والپلاست دندان قدامی در بیماران با مینای ضخیم دندان امکان پذیر است، اما نیاز به بررسی دقیق و برنامه ریزی درمانی مناسب دارد. در حالی که انعطاف پذیری و زیبایی والپلاست آن را به گزینه ای جذاب تبدیل می کند، چالش های حفظ، انسداد و آماده سازی دندان باید مورد توجه قرار گیرد.
اگر شما یک دندانپزشک یا متخصص دندانپزشکی هستید که علاقه مند به کسب اطلاعات بیشتر در مورد دندان های قدامی Nesbit Valplast یا سایر محصولات Valplast هستید، توصیه می کنم با ما تماس بگیرید تا در مورد نیازها و نیازهای خاص خود صحبت کنید. ما متعهد به ارائه محصولات دندانپزشکی با کیفیت بالا و خدمات عالی به مشتریان هستیم و مشتاقانه منتظر همکاری با شما هستیم.
مراجع
- Fejerskov O, Kidd EAM. پوسیدگی دندان: بیماری و مدیریت بالینی آن وایلی-بلکول؛ 2008.
- ده کیت جی ام. بافت شناسی دهان: رشد، ساختار و عملکرد ماسبی; 2007.
- شورای امور علمی ADA. دستورالعمل برای تجویز دندان مصنوعی کامل متحرک. J Am Dent Assoc. 2012؛ 143 (12): 1357-1362.
